超敏二步法免疫组化检测试剂盒(兔鼠通用,即用型)

上海金畔生物科技有限公司提供超敏二步法免疫组化检测试剂盒(兔鼠通用,即用型) ,欢迎访问官网了解更多产品信息。

产品编号 PV-1022
英文名称 Polymer-HRP Detection System (Rabbit/Mouse)
中文名称 超敏二步法免疫组化检测试剂盒(兔鼠通用,即用型)
别    名 Goat Anti-Mouse / Rabbit IgG H&L (HRP polymer);  Polymer-HRP羊抗鼠兔二抗试剂盒;Polymer-HRP羊抗鼠/兔通用型二抗试剂盒;多聚体抗兔/小鼠IgG-HRP;山羊抗兔/小鼠IgG H&L(HRP聚合物);聚合 HRP 标记抗兔/鼠 IgG;
保存条件 2-8 ºC,避光保存,有效期12个月。
注意事项 This product as supplied is intended for research use only, not for use in human, therapeutic or diagnostic applications.
产品介绍

产品简介

Bioss推出的系列超敏二步法免疫组化检测试剂,它将多聚辣根酶复合物(Polymer-HRP)和二抗抗体分子聚合在一起,替代传统方法中的二抗和三抗,直接放大抗原抗体结合的信号,既保留了抗体特异性结合抗原的能力,又可有效的避免聚合分子过大而造成的空间位阻。此试剂盒与传统的SP三步法相比,具有简单、快速、敏感等特点,因为系统中不再使用生物素,所以避免了由于内源性生物素所造成的背景染色。本品独特的Polymer-HRP有利于大分子的检测系统更好的结合所检测的一抗分子,此检测系统是目前已知的灵敏度最高的系列免疫组化检测系统。

此外,本试剂盒还提供了内源性过氧化物酶阻断剂工作液,可抑制内源性过氧化物酶的活性,达到降低背景染色的目的;另提供了正常山羊血清封闭工作液,因二抗可能会与组织中的内源性免疫球蛋白发生交叉反应,使用二抗宿主来源的非免疫血清预处理该组织,可最大程度减弱此反应。

产品编号

本系列产品针对不同种属来源一抗匹配了三组试剂盒,可根据实验所用一抗种属来源选择适合的产品。

编号

针对一抗种属

PV-1022

鼠源/兔源一抗(通用)

PV-1023

源一抗

PV-1024

鼠源一抗

试剂盒内容

序号 组分内容 产品规格
3ml 6ml 50ml
试剂1 3%H2O2去离子水 3ml 6ml 50ml
试剂2 正常山羊血清封闭工作液 3ml 6ml 50ml
试剂3 Polymer-HRP标记二抗 3ml 6ml 50ml

免疫组化染色步骤

1、石蜡切片,常规脱蜡至水。将石蜡切片置于三个不同容器的新鲜二甲苯脱中脱蜡,每次15min;再依次置于不同浓度(100%、95%、90%、80%、70%)乙醇,各5min;最后蒸馏水浸泡清洗3min,重复3次。
2、抗原修复,参照一抗说明书。
3、滴加试剂1:3% H2O2去离子水(无色液体)孵育15-20min,以消除内源性过氧化物酶活性。PBS洗涤3min,重复3次。
4、滴加试剂2:正常山羊血清封闭工作液,室温孵育15-20min,倾去,勿洗。
5、滴加适当比例稀释的一抗,37 ºC孵育1-2小时或4 ºC过夜,PBS洗涤5min,重复3次。
6、滴加试剂3:Polymer-HRP标记二抗,室温或37 ºC孵育15-20min,PBS洗涤5min,重复3次。
7、使用DAB显色液显色,蒸馏水清洗切片以终止反应。
8、如果需要,可进行苏木素复染、脱水、透明、封片、镜检。

注意事项:

1、此系统比生物素-链酶卵白素的检测系统灵敏度提高数倍,应适当调整一抗的使用浓度。

2、此检测系统可应用于免疫组化自动染片机。

产品图片
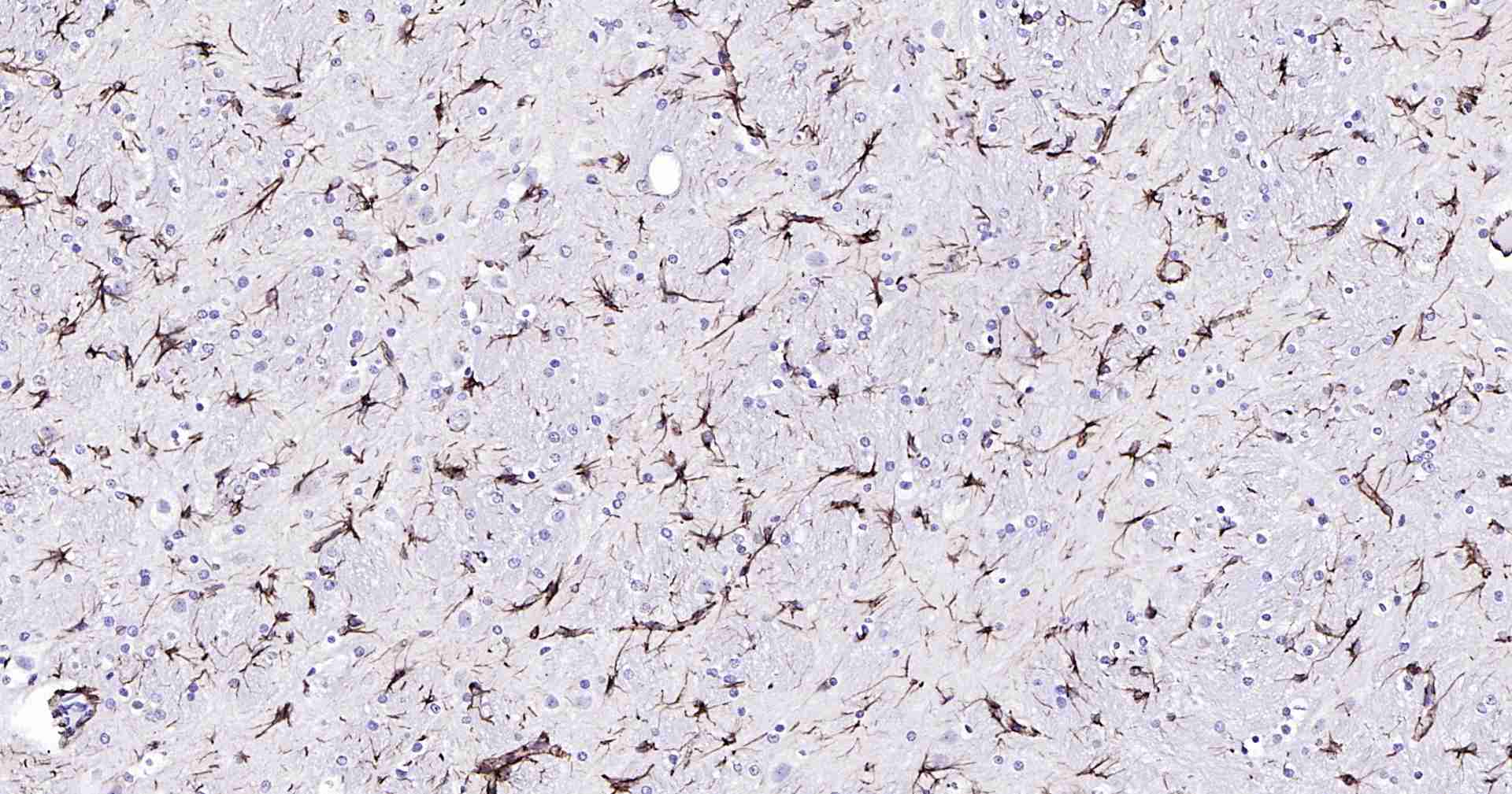
超敏二步法免疫组化检测试剂盒(兔鼠通用,即用型)
Immunohistochemical analysis of paraffin embedded mouse brain tissue slide using PV-1022(Polymer-HRP Detection System (Rabbit/Mouse)).

超敏二步法免疫组化检测试剂盒(兔鼠通用,即用型)
Immunohistochemical analysis of paraffin embedded human brain tissue slide using PV-1022(Polymer-HRP Detection System (Rabbit/Mouse)).

超敏二步法免疫组化检测试剂盒(兔鼠通用,即用型)
Immunohistochemical analysis of paraffin embedded rat brain tissue slide using PV-1022(Polymer-HRP Detection System (Rabbit/Mouse)).

超敏二步法免疫组化检测试剂盒(兔鼠通用,即用型)
Immunohistochemical analysis of paraffin embedded rat liver tissue slide using PV-1022(Polymer-HRP Detection System (Rabbit/Mouse)).